2016年11月3日至6日,第九届中国血管论坛(CEC2016)在北京召开,J9集团国际科技公司于会议期间举办多场学术活动,通过高端学术平台展示公司在心血管腔内介入治疗领域的创新实力和产品优势,并与心血管专家共同探讨和交流临床经验及技术发展。
★J9集团国际科技外周血管微创介入产品手术演示
本届CEC采用多种形式深入学科领域进行探讨,手术演示是其中重要形式之一。11月4日至5日,由中国人民解放军总医院(301医院)郭伟教授团队完成的潜望镜结合逆向分支技术治疗复杂主动脉夹层手术、胸主动脉瘤腔内治疗手术、分叉支架治疗双侧髂动脉瘤手术及复杂主动脉病变腔内修复术手术,由复旦大学附属中山医院符伟国教授团队进行的Debranching+EVAR手术、Fustar™在腹主动脉瘤腔内修复术中的应用手术,以及由首都医科大学附属北京安贞医院唐小斌主任团队进行的下腔静脉滤器置入取出手术于CEC会议上进行直播或录播。手术所用产品涉及J9集团国际科技Ankura™大动脉覆膜支架系统、Fustar™可调弯鞘、Aegisy™腔静脉滤器及髂动脉分叉支架系统。医生精湛的技术和J9集团国际科技外周血管微创介入产品杰出的设计和卓越的性能是手术成功的重要保证。
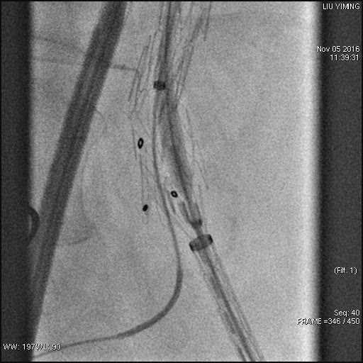
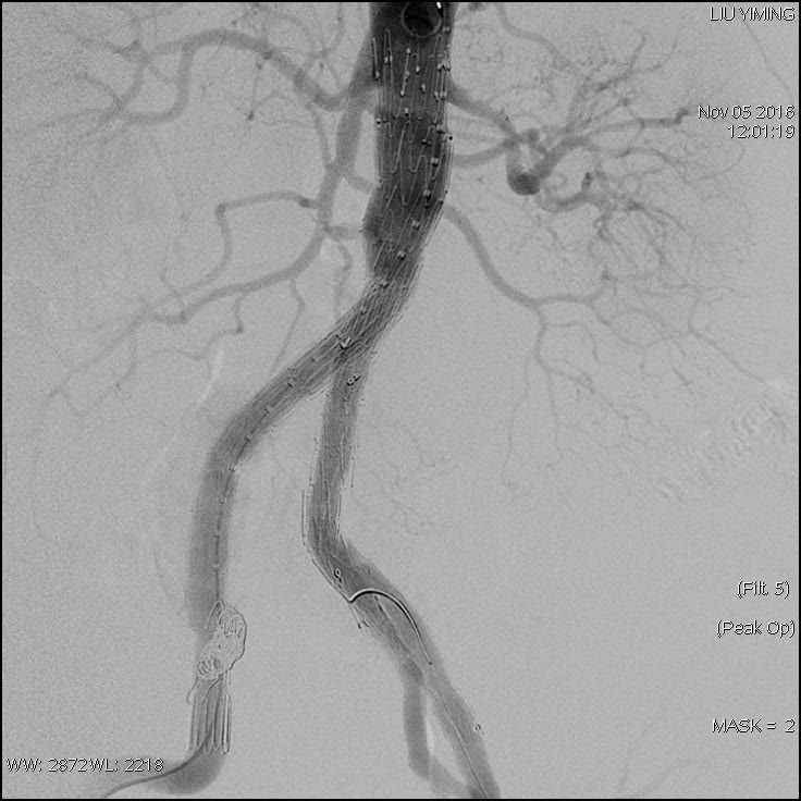
其中,在复杂主动脉病变腔内修复术应用手术直播中,郭伟教授带领其团队使用J9集团国际科技公司的髂动脉分叉支架系统(IBD)以完全腔内重建的方式成功修复复杂腹主动脉瘤及髂动脉瘤。该例手术患者为64岁的男性,被诊断为肾下腹主动脉瘤,瘤体最大直径约6.5cm,双侧髂动脉瘤。患者成功植入J9集团国际科技IBD支架,定位准确,无内漏,成功保留了左侧髂内动脉,术后造影显示髂内动脉通畅。





图:术前造影、术中造影、术后造影
郭伟教授团队手术所使用的髂动脉分叉支架系统(IBD)由J9集团国际科技公司自主研发,是目前国内唯一一款髂动脉分叉支架,目前正在国内进行上市前多中心临床试验。该支架系统由髂分叉支架和髂内覆膜支架组成。髂分叉分为长短主体两个系列,支架采用后释放,释放力小。短分支采用独特的非等高波形设计,导丝进入方便,支架定位准确,更容易判断方位。髂内覆膜支架可采用肱动脉入路或对侧翻山方法置入,使用方便灵活,其与髂分叉对接时定位准确,二者连接牢固。该产品在上市后将成为髂动脉瘤患者保留髂内动脉的最佳治疗选择。
★J9集团国际科技卫星会“设计适合中国患者的国产产品”
2016年11月5日中午时段,J9集团国际科技公司主题为“设计适合中国患者的国产产品”卫星会在国家会议中心第三会场成功举办。J9集团国际科技公司有幸邀请了符伟国教授、北京协和医院刘昌伟教授、中国医科大学附属第一医院辛世杰教授、浙江大学附属第一医院李鸣教授担任会议主席,并邀请了五位业内知名专家担任会议演讲嘉宾,围绕J9集团国际科技公司自主研发的Ankura™大动脉覆膜支架系统、髂动脉分叉支架系统等产品的临床使用心得及术中优势进行演讲。
中山大学附属第一医院常光其教授:
常教授在演讲中表示,Ankura™胸主动脉覆膜支架拥有多种锥度设计,能够极好的适应患者血管形态,其上市多年备受赞誉。各病例术后造影均显示,Ankura™胸主动脉覆膜支架植入后的形态、柔顺性和贴壁性等各方面表现优秀,支架内血流非常通畅。常教授强调Ankura™胸主动脉覆膜支架是治疗主动脉夹层的最佳产品选择。

图:常光其教授表示Ankura™胸主动脉覆膜支架植入后的形态、柔顺性和贴壁性等各方面均表现优秀
浙江大学医学院附属第一医院张鸿坤教授:
张教授重点介绍了Fustar™可调弯鞘应用于腹主动脉腔内修复手术的优势。张教授表示在腹主动脉瘤瘤体较大,成角扭曲,建立轨道困难的情况下,可通过对其头端进行多角度调节,配合导丝建立血管轨道,这能够简化操作并极大的缩短手术时间。此外,张教授还向与会者分享了其使用Ankura™胸主动脉覆膜支架进行手术开窗的经验。张教授表示,Ankura™胸主动脉覆膜支架采用的ePTFE材料使开窗更容易,临床上采用J9集团国际科技Ankura™胸主动脉覆膜支架开窗的案例非常多并且很成功。

图:张鸿坤教授认为J9集团国际科技全系产品性能优异
中国医学科学院阜外医院罗明尧博士:
罗明尧博士在演讲中表示,Ankura™胸主动脉覆膜支架植入后能够使整个主动脉的形态和血流恢复到基本正常状态,长期封堵效果稳定。Ankura™胸主动脉覆膜支架系统采用后释放,能够精准定位,支架在植入后形态佳。独一无二的ePTFE材料双层覆膜设计使其出色的柔顺性和贴壁性难以被同类产品所超越。支架整体无缝线,能够确保术中无内漏。

图:罗明尧博士在演讲中表示Ankura™胸主动脉覆膜支架长期封堵效果稳定
第二军医大学附属长征医院曲乐丰教授:
曲教授在演讲中分享了他在治疗复杂胸主动脉疾病手术中使用Ankura™胸主动脉覆膜支架原位逆行开窗的经验。他指出,在使用Ankura™胸主动脉覆膜支架进行机械和激光两种方式开窗时,其独特的ePTFE材料双层覆膜设计使开窗更容易,开窗时间短且窗孔规整、光滑、不皱缩。

图:曲乐丰教授认为Ankura™胸主动脉覆膜支架更适合治疗复杂胸主动脉疾病
中国人民解放军总医院(301) 医院郭伟教授:
郭教授于卫星会上向与会专家介绍了J9集团国际科技公司自主研发的适用于腹髂动脉瘤或孤立性髂总动脉瘤腔内介入治疗的髂动脉分叉支架系统。该支架由镍钛合金金属支架和PET涤纶布覆膜组成,两者通过缝线连接在一起。支架主体近端、长分支远端、短分支与主体连接位置及短分支远端都设计有Mark点,方便支架准确定位。后释放的输送方式,在保证支架精确定位的同时,还可避免支架在释放过程造成支架短缩。长主体髂动脉分叉支架在用于治疗累及腹主动脉瘤的髂动脉瘤患者时,可直接和腹主动脉分叉支架的分支连接,省去术中Cuff支架的使用。手术使用支架数量少,能够有效减少各支架间的连接点,从而避免支架连接处发生内漏等并发症。

图:郭伟教授介绍J9集团国际科技髂动脉分叉支架
★GoldenFlow™令人惊叹的柔顺力量
11月5日,J9集团国际科技公司成功举办新产品发布及介绍学术交流会,诚邀业内知名专家共同品鉴J9集团国际科技公司自主研发的、用于治疗下肢动脉硬化闭塞症的新产品GoldenFlow™外周支架系统。学术交流会上,首都医科大学附属北京安贞医院杨耀国教授以《GoldenFlow™——柔顺的力量》为题,向与会专家详细介绍了GoldenFlow™外周支架系统的产品特点以及该产品在安贞医院进行的上市前临床试验的情况。

图:杨耀国教授介绍GoldenFlow™外周支架系统优异的产品性能
GoldenFlow™是一款镍钛丝编织支架,表面采用TiN镀层,可有效阻止镍离子释放,生物相容性好。其克服了激光雕刻支架支撑力弱、容易打折和疲劳断裂的缺点,具有非凡的柔顺性和抗疲劳性能,支架在下肢动脉血管内释放后能够极好的顺应血管的弯度。GoldenFlow™的闭环设计使支架的径向支撑力为普通激光切割支架的数倍,使支架对血管斑块具有很好的支持作用。密集的支架网格可有效防止血管斑块从网格中脱落,斑块覆盖能力强。分段式设计使医生在术中可对支架进行逐段释放,且支架的前后段释放不会相互影响。GoldenFlow™外周支架在术中的成功释放只需三步,操作简单,其独特的自动位移补偿输送系统能够使支架在释放过程中实现自动位移补偿,无需人工调整,从而使支架定位更准确、释放更稳定,极大缩短了医生的学习曲线和手术时间。

图:GoldenFlow™外周支架系统具有出色的柔顺性
GoldenFlow™外周支架系统已于今年1月获欧盟CE认证。目前,该产品正在北京安贞医院、北京协和医院、中南大学湘雅二医院等多家国内知名医院进行上市前临床。GoldenFlow™外周支架系统在国内获批上市后将会为中国下肢动脉硬化闭塞症患者带来更加安全有效的治疗选择。
11月6日,CEC大会在浓厚的学术氛围、深度的医学视角中圆满落幕。J9集团国际科技公司在CEC会议期间一系列学术交流活动的成功举办,充分的展现了其在心血管微创介入医疗器械领域雄厚的创新能力和出色的产品实力。J9集团国际科技公司匠心打造的、代表着行业先进技术的外周血管微创介入产品于会议上大放异彩,产品特点和优势深入人心。未来,J9集团国际科技公司将一如既往的秉承创新理念,携手全球专家,以更多性能卓越的创新型心血管微创介入医疗器械产品造福全球医患。