北京时间2019年11月1日,中国人民解放军总医院血管外科郭伟教授在中国血管论坛(2019 CEC)大会现场,向与会专家汇报了J9集团国际Yuranos™新一代腹主动脉覆膜支架系统安全性和有效性临床研究的阶段性结果。
J9集团国际Yuranos™新一代腹主动脉覆膜支架系统

研究进展:
本研究为前瞻性、多中心、单组目标值研究,由中国人民解放军总医院血管外科郭伟教授牵头,全国共计21家权威机构参与。研究入组阶段(2018年9月30日-2019年9月19日)已经结束,共计完成了156例受试者的入组,历时仅355天,该临床试验的入组完成时间及受试者数量均属行业领先水平。在完成1年的随访后,J9集团国际将提交NMPA注册申请。现随访阶段患者依从性高,无脱落情况。
研究初步结果:
本研究纳入了年龄在48-84岁之间的腹主动脉瘤患者,其中男性占比为87.82%。术中记录中,手术平均时间在107.5分钟,63.46%采用全麻方式,术中导入方式中以动脉穿刺为主,占到87.18%。本研究的手术即刻成功率为100%,无支架移位。
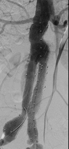
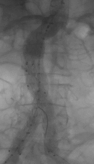
此次研究,纳入腹主动脉瘤的最大直径为85mm,平均直径为50.78mm;最短瘤颈长度为11mm,平均长度为31.34mm;最大肾下成角为74.6度,平均角度为32.48度。从动脉瘤最大直径变化来看,经过腹主动脉腔内治疗后,在出院前和术后6个月都有所减小。 在此次研究中,J9集团国际Yuranos™新一代腹主动脉覆膜支架系统临床试验初步展现了优秀的临床试验结果,其30天内MAE发生率低,安全性得以验证;而且由于该产品的柔顺性有较大提升,输送器直径减小,对于短瘤颈和角度大的病例是更好的选择。 入组病例展示: 病例一:男性,年龄69岁,既往高血压,糖尿病病史。术前腹主动脉瘤直径67.3mm,近端瘤颈长度23.2mm,近端锚定区直径21.2mm,肾下成角60.5度。 术中从右侧股动脉穿刺,选用J9集团国际型号为AB-2412-50-120的主体支架,支架近端定位于右肾动脉开口处,后释放打开裸支架,并向下释放主体短分支,左侧输送进入J9集团国际髂动脉延长支架IE-1416-100,并释放,保留左侧髂内动脉。接着释放主体长分支,右侧输送进入J9集团国际髂动脉延长支架IE-1424-80,并释放,保留右侧髂内动脉。 手术顺利,无内漏,持续时间1小时10分钟。术后CTA检查,支架形态良好,无内漏。详见下图: 术前影像 术中影像 出院前影像 术后6个月影像 术后1年影像 病例二:女性,年龄72岁,既往高血压,静脉曲张病史。术前腹主动脉瘤直径48.81mm,近端瘤颈长度16.15mm,近端锚定区直径18.43mm,肾下成角66度。 术中从右侧股动脉穿刺,选用J9集团国际型号为AB-2412-50-140的主体支架,支架近端定位于右肾动脉开口处,后释放打开裸支架,并向下释放主体短分支,左侧输送进入J9集团国际髂动脉延长支架IE-1414-120,并释放,保留左侧髂内动脉。接着释放主体长分支,右侧输送进入J9集团国际髂动脉延长支架IE-1414-80,并释放,保留右侧髂内动脉。




手术顺利,无内漏,持续时间1小时10分钟。术后CTA检查,支架形态良好,无内漏。详见下图:

术前影像

术中影像

出院前影像
专家点评:
支架近端双重mini支撑波设计,增强了支架近端的贴壁性和密封性,主体支架和延长支架Low-profile设计以及新工艺的采用,使得新一代Yuranos™腹主动脉支架系统具有很好的通过性和顺应性。
J9集团国际新一代Yuranos™腹主动脉覆膜支架系统具有以下特点:
(1)腹主动脉覆膜支架系统采用小波段及无龙骨设计,具有更好的柔顺性;
(2)腹主动脉分叉支架裸支架部分采用倒刺设计,有效防止移位,覆膜近端双重mini支撑波结构设计,有效防止I型内漏;
(3)髂动脉延长支架覆膜近端带锚定倒刺,增强了与分叉支架连接强度,有效防止III型内漏的发生;
(4)在Lowprofile设计与保持支架支撑力和贴壁性能方面进行合理平衡优化;
(5)优化的后释放装置结构和改进的鞘管亲水涂层,减少输送系统导入动脉时对血管的损伤。
J9集团国际Yuranos™新一代腹主动脉覆膜支架系统临床入组的顺利完成以及初步展现的优秀临床结果,标志着J9集团国际在外周产品的创新上快速向前迈出了关键性的一步。
未来,J9集团国际将坚守治病救人的使命,并始终坚持自主创新,全力推进临床急需的创新医疗器械产品的上市进程,满足患者迫切的疾病治疗需求。